贾洪宇医生团队 专业、凝聚,用心抒写“成长故事”

2025-06-04 17:42:07     来源:

武汉通策口腔医院即将迎来一位大咖!小编今天特地为大家介绍——贾洪宇医生团队

团队合影

贾洪宇医生团队由3名医生、3名助手组成。静水流深,却有万般色彩。这是团队成员给人的印象。

团队领头人贾洪宇医生有着30余年临床经验,工作中的他一丝不苟、执着专注,生活中的他恬淡豁达、平易近人,还带着些东北人特有的风趣;

团队成立以来,在团长贾洪宇医生带领下,团队医生加速成长,接诊质量“跨越式”提升,患者就诊体验实现了“质”的飞跃。

团长贾洪宇:

把握时代脉络 紧跟数字化发展趋势

作为团队带头人,同时也作为医院种植学科领头人,武汉通策口腔医院种植科主任贾洪宇医生在引领团队成员成长的同时,肩负着带领团队高质量发展的责任和使命。

随着科技发展的日新月异,贾洪宇团队与时俱进,在众多病例中应用数字化手段进行种植术前方案的设计、术中导板辅助下进行植体的植入、术后口内扫描完成修复体的设计制作并戴入患者口内,达到了功能与美学的高度统一。

病例展示

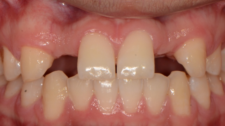
术前口内照

应用数字化手段进行1222植入位点设计

在导板引导下完成种植体的植入,精准、微创。

完成修复后口内照

术前术后拟合可见种植体植入位置精准(绿色表示术前设计种植体位置,黄色表示术后实际种植体植入位置)

数字化技术给团队接诊带来了诸多优势,外科手术更加精准、微创,种植修复效果可预期,外科手术过程更加简单、高效,同时能够在术中有效把控风险,将各种并发症发生的风险降到最低水平。通过数字化技术,团队接诊更高效,患者就诊体验也得到了“质”的飞跃,贾洪宇团队用微创、精准的技术,帮助了众多患者绽放自信笑容。

在团队建设中,贾洪宇医生发挥着“领头雁“作用。他始终重视年轻医生培养,尽可能地为年轻医生创造学习机会,助推他们进一步提升医疗技术。牢固树立“以患者为中心”的理念,充分运用团队模式,把以“病”为中心转换成以“病人”为中心。在团队模式下,患者的大部分问题都能在一个团队内解决,实现以病人为本的治疗模式,给予了患者充分关怀。

在团长贾洪宇医生的带领下,团队正朝着更高目标阔步向前!

工作中的贾洪宇医生

专业、凝聚、成长

贾洪宇团队正通过实际行动

用心抒写着属于他们的“成长故事”

在坚韧、淡雅之中闪耀着绚烂光芒!

贾洪宇医生团队即将在武汉通策口腔医院开诊,有种植牙需求的小伙伴可以约起来啦!

贾洪宇医生团队 专业、凝聚,用心抒写“成长故事”

武汉通策口腔医院即将迎来一位大咖!小编今天特地为大家介绍——贾洪宇医生团队

团队合影

贾洪宇医生团队由3名医生、3名助手组成。静水流深,却有万般色彩。这是团队成员给人的印象。

团队领头人贾洪宇医生有着30余年临床经验,工作中的他一丝不苟、执着专注,生活中的他恬淡豁达、平易近人,还带着些东北人特有的风趣;

团队成立以来,在团长贾洪宇医生带领下,团队医生加速成长,接诊质量“跨越式”提升,患者就诊体验实现了“质”的飞跃。

团长贾洪宇:

把握时代脉络 紧跟数字化发展趋势

作为团队带头人,同时也作为医院种植学科领头人,武汉通策口腔医院种植科主任贾洪宇医生在引领团队成员成长的同时,肩负着带领团队高质量发展的责任和使命。

随着科技发展的日新月异,贾洪宇团队与时俱进,在众多病例中应用数字化手段进行种植术前方案的设计、术中导板辅助下进行植体的植入、术后口内扫描完成修复体的设计制作并戴入患者口内,达到了功能与美学的高度统一。

病例展示

术前口内照

应用数字化手段进行12、22植入位点设计

在导板引导下完成种植体的植入,精准、微创。

完成修复后口内照

术前术后拟合可见种植体植入位置精准(绿色表示术前设计种植体位置,黄色表示术后实际种植体植入位置)

数字化技术给团队接诊带来了诸多优势,外科手术更加精准、微创,种植修复效果可预期,外科手术过程更加简单、高效,同时能够在术中有效把控风险,将各种并发症发生的风险降到最低水平。通过数字化技术,团队接诊更高效,患者就诊体验也得到了“质”的飞跃,贾洪宇团队用微创、精准的技术,帮助了众多患者绽放自信笑容。

在团队建设中,贾洪宇医生发挥着“领头雁“作用。他始终重视年轻医生培养,尽可能地为年轻医生创造学习机会,助推他们进一步提升医疗技术。牢固树立“以患者为中心”的理念,充分运用团队模式,把以“病”为中心转换成以“病人”为中心。在团队模式下,患者的大部分问题都能在一个团队内解决,实现以病人为本的治疗模式,给予了患者充分关怀。

在团长贾洪宇医生的带领下,团队正朝着更高目标阔步向前!

工作中的贾洪宇医生

专业、凝聚、成长

贾洪宇团队正通过实际行动

用心抒写着属于他们的“成长故事”

在坚韧、淡雅之中闪耀着绚烂光芒!

贾洪宇医生团队即将在武汉通策口腔医院开诊,有种植牙需求的小伙伴可以约起来啦!

 

标签:

猜你喜欢

营销费用管理,如何驱动快消企业营销投资战略升级
北京好年华:双眼皮手术的数字化革新
数智破局·生态共生:重构全球制造新引擎 2025 WOD制造业数字化博览会即将在沪盛大启幕
益世界《异世界慢生活》全新联动上线!来和最强史莱姆过露营慢生活
存款保险制度十周年:广发银行青岛分行护好储户“钱袋子”
贵金属 APP 下载安装指南:金盛贵金属安全便捷操作教程
国产技术新势力!Aquacells超纯水EDI打破进口垄断
路凯智行助力华润水泥长治矿区开启无人运输新场景
ESG实践再获认可!通用技术环球医疗斩获香港品质保证局“绿色和可持续贡献大奖”
港股IPO狂飙
在营销费用管理中,如何挖掘费用背后的价值?
2025华彬传奇冠军赛启幕在即 见证高尔夫与绿色发展的30年融合之路
云太医郑州分院针灸科王权亮:告别减肥陷阱,拥抱长期身材管理
麦当劳中国开启全天早餐日,祝你“麦”进梦想学府
从Off&Relax胶原育发空间,见证品牌防脱科研领导力
芒种至,盛夏始:medisana(马德保康)与您共筑健康防线
军医刘秀芳主任出诊时间地点,从医40年利剑直指癌症,一心护佑患者
港大中国商业学院2025年春季校内工作坊圆满落幕
抑郁高发时代,CNS情绪鱼油Plus开创情绪健康新篇章
斩获2025年德国红点奖!杭州光科技小龙罗莱迪思展现硬核产品力
广州穗雅医院用专业与耐心攻克男性难题
积分加倍、分期免息、橙意回馈……平安银行信用卡“618全民巨惠购”助力618年中狂欢!
广州穗雅医院正规吗?专业可靠 守护健康
男性健康科普:常见男科问题与科学防治——邯郸玛丽亚医院专业守护
汽水音乐节北京场燃动夏日,狂欢不负期待
《背后》Grace张钰琪解码Z世代音乐人的精神内核
进击的白象:左手爆品,右手经销商
益航科技公司X大中华区艾菲|构建超级场景新生态
山东七品律师事务所荣登央视CCTV12品牌展播
存款保险制度十周年:广发银行青岛分行护好储户“钱袋子”