38岁的张女士(化名)做梦也没想到,自己追美的心思竟差点毁了视力!为了摆脱戴了20多年的近视眼镜,她满心欢喜地准备做近视手术,可术前检查却给了她一记“闷棍”——被确诊为激素性白内障。更令人震惊的是,这场眼部隐患的“元凶”,竟是她坚持了一年多的美容院面部护理。好在发现及时,经过个性化治疗后,张女士重获清晰视力,这场“爱美风波”也成了她一生难忘的健康警示。
近视手术前检查,意外查出白内障
据了解,张女士近视已有二十余年,眼镜早已成为她生活和工作中不可或缺的“伙伴”。随着近年来工作对视觉质量的要求不断提高,加上日常戴眼镜的诸多不便,今年她终于下定决心,计划通过近视手术彻底告别眼镜。为了确保手术安全,她特意来到南宁爱尔医院眼科进行全面的术前检查,可检查结果却让她陷入了意外与失落之中。

贾主任为张女士检查眼睛图
“检查显示,张女士的眼部条件原本符合近视手术的基本要求,但在细致排查时,我们发现她右眼的晶状体存在混浊情况,最终确诊为后囊下型白内障。”接诊医生表示,这样的结果意味着张女士暂时无法进行近视手术,这让满心期待的她倍感遗憾。更让医生关注的是,38岁患上白内障并不常见,属于相对年轻的病例,背后大概率存在特殊诱因。

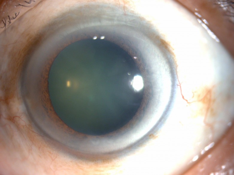
张女士右眼晶状体存在混浊

晶状体后囊下混浊且位于视线中央,早期白内障视力已受影响,尤其白天强光下更明显
追溯病史,美容护理竟藏“激素隐患”
为查明病因,张女士转诊至白内障青光眼专科,科主任贾艳红耐心细致地追问其病史、用药情况及日常护肤习惯。沟通中,她回忆起的一段持续一年多的面部美容经历,成为破解病因的关键线索。一年前,她在小区附近闲逛时发现这家新开的美容院,门口张贴的“七天焕肤、无效退款”宣传海报十分诱人,咨询时店员又不断推销套餐的神奇效果,她便当场办理了高端面部护理套餐。初期几次护理后,皮肤确实变得细腻嫩滑,连眼角的小干纹都淡了不少,这让她对美容院的产品和技术深信不疑。

可好景不长,数月后她脸颊突发红疹伴不适,美容院称是“正常反应”并推荐“修复护理”。但症状仅在修复后暂消,停止则复发,反复一年多让她意识到问题严重性。
随后她前往三甲医院皮肤科就诊,确诊为“激素依赖性皮炎”。贾艳红主任结合该病史综合研判,考虑其激素性白内障大概率与美容类产品中含有激素类成分有关。她解释,长期不当使用含激素产品,不仅会损伤皮肤引发皮炎,激素还可能经眼周局部吸收诱发白内障;该病早期隐匿易忽视,后期可能导致视力骤降甚至失明。
精准治疗焕新视力,三焦点晶体显成效
考虑到张女士年仅38岁,且日常工作需要长时间看电脑、看手机,对远、中、近不同距离的视力都有较高需求,贾艳红主任为她制定了个性化的屈光白内障手术方案,选择为其植入三焦点人工晶体。“三焦点人工晶体能够同时满足远、中、近三种距离的视物需求,术后无需再佩戴眼镜,非常适合像张女士这样有较高视觉质量要求的年轻患者。”贾艳红主任表示。

贾主任为患者进行白内障手术图
手术顺利完成,术后复查时,张女士的视力得到了全面恢复,远、中、近视力均达到了理想水平。无论是日常远距离视物、办公时看电脑,还是闲暇时看手机信息,都清晰自然。“不用戴眼镜也能看清所有东西,真的是意外中的惊喜。原本因为不能做近视手术很失落,现在反而收获了更好的视力,也及时排除了失明的隐患。”张女士欣喜地说道。
医生郑重警示,医美需守好“健康底线”
张女士的经历,给所有爱美人士敲响了警钟。当前医美市场良莠不齐,部分小型机构、小区周边美容作坊为了追求“快速见效”的营销噱头,不惜使用违规添加激素、重金属等有害成分的护理产品。这些成分短期内能让皮肤呈现“吹弹可破”的假象,却会给身体埋下诸多健康隐患。
“激素对身体的损害是全身性的,除了引发皮肤问题,还会累及眼部、内分泌等多个系统。”贾艳红主任着重提醒,眼部是非常脆弱的器官,长期接触激素可能诱发白内障、青光眼等多种眼病,严重威胁视力健康。
